Der kalte Knoten - wie häufig ist er bösartig?
Szintigramm - klassischer kalter Knoten

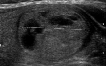
Ultraschall - regressiv-cystischer Knoten ohne Krebsverdacht

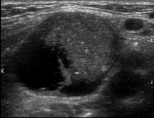
Ultraschall - echoarmer, unscharf begrenzter Knoten mit Krebsverdacht
Der kalte Knoten ist ein Knoten, der weniger Funktion aufweist als gesundes Gewebe. Er wird deshalb auch "hypofunktioneller" Knoten genannt. Da der Knoten weniger arbeitet, nimmt er weniger radioaktives Jod bzw. Technetium auf und weist so im Schilddrüsenszintigramm einen Speicherausfall auf. Das ist ein Zeichen dafür, dass sich die Schilddrüsenzellen vermehrt und auch verändert haben können.
Liegt ein kalter Knoten vor, so muss abgeklärt werden, ob es sich um einen "harmlosen" Knoten handelt oder ob Verdacht auf Schilddrüsenkrebs besteht. Neben der Szintigraphie ist heute primär der Ultraschall (Sonographie) die wichtigste Untersuchung zur Abklärung und Einschätzung von Knoten. "Echoreiche" und gut abgrenzbare Knoten deuten auf gutartigen Charakter hin harte, echoarme und schlecht abgrenzbare Adenome sind eher kritische Zeichen ebenso Knoten mit Mikrokalk, vor allem, wenn dasselbe Ultraschallmuster auch in Lymphknoten vorliegt. Metastasen in Lymphknoten zeigen häufig dasselbe Gewebebild.

Sono mit gutartiger Knoten

Sono Knoten mit Krebsverdacht

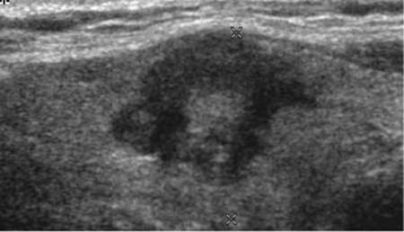
Sono Knoten mit Krebsverdacht wegen Mikrokalk

Sono bösartiger Knoten mikrokalk lnn metastase
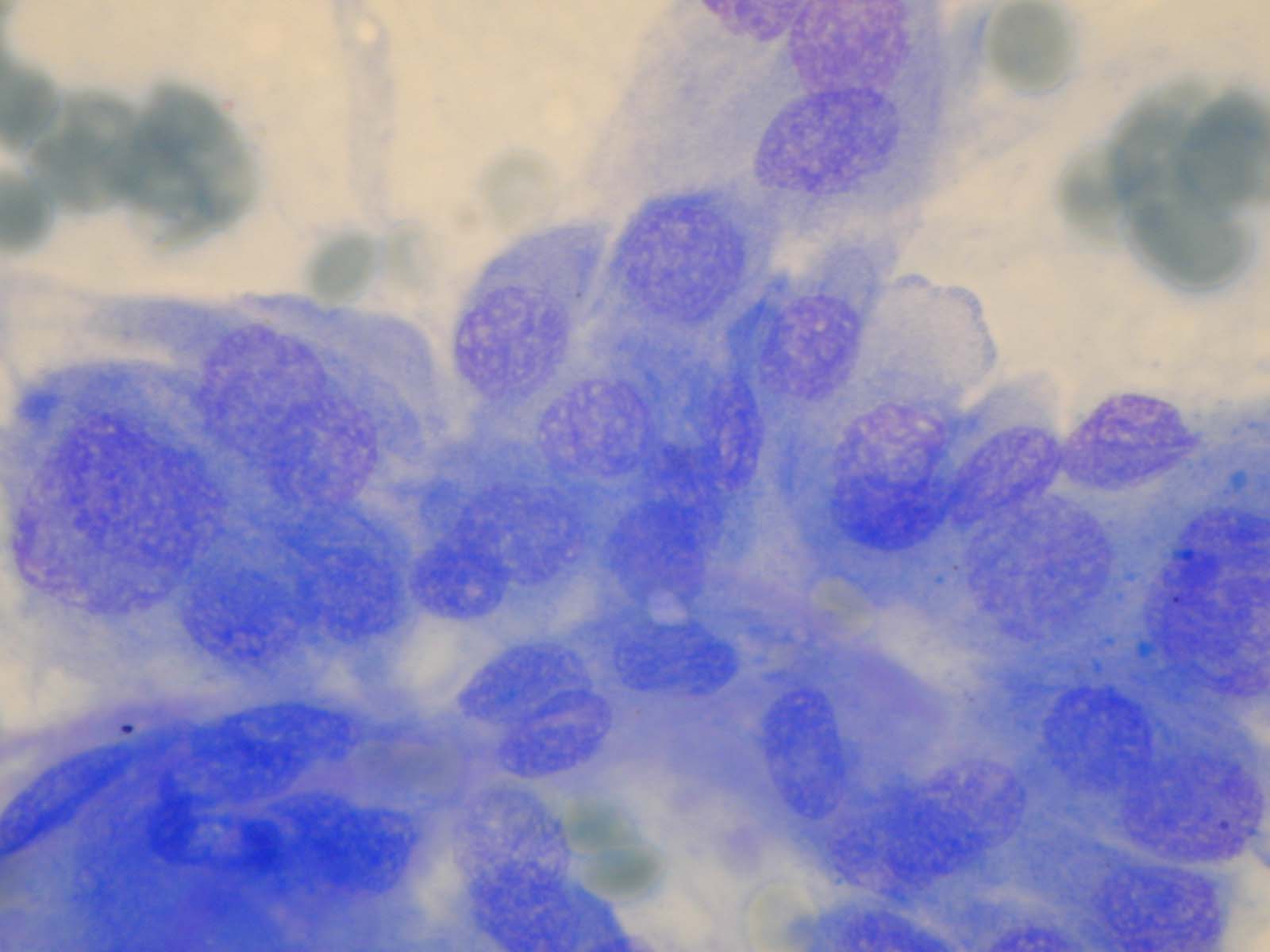
Mit einer Gewebspunktion können Zellen aus dem Knoten gewonnen werden, die mikroskopische Begutachtung ermöglicht oft weitere Informationen und kann das Krebsrisiko genauer einschätzen. Auch Lymphknoten können punktiert werden und das Punktat nicht nur feingeweblich untersucht, sondern auch auf Vorhandensein von Thyreoglobulin geprüft werden.

Feinnadelpunktat - zytologische Beurteilung unter dem Mikroskop
Das durchschnittliche Krebsrisiko kalter Knoten liegt zwischen 6 und 10%, die Untersuchung durch den Schilddrüsenspezialisten, Ultraschall und Feinnadelpunktion können dieses Risiko für die individuelle Situation jedes Patienten aber noch genauer einschätzen. Wenn Bösartigkeit nicht mit letzter Sicherheit auszuschließen ist, muss eine operative Entfernung mit intraoperativer Schnellschnittuntersuchung (Gefrierschnitt) durchgeführt werden.