Diagnostik und Untersuchungstechniken
Es gibt zwei grundlegende Erkrankungen der Schilddrüse:
- die gestörte Schilddrüsenfunktion (Über- oder Unterfunktion)
- die Veränderung des Schilddrüsengewebes (Knoten, Vergrößerung)
Sie können einzeln oder auch kombiniert auftreten.
Jeder Schilddrüsenuntersuchung geht ein erstes Kennenlernen und ein ausführliches Gespräch mit dem Patienten oder der Patientin voraus.
.jpg)
Die persönliche Begleitung und Betreuung ist rund um die Operation besonders wichtig und die Zuwendung ist in jeder Altersklasse ein wichtiger Bestandteil der Vertrauensbildung.

Eine genaue Erhebung der Krankheitsgeschichte, Art und Dauer der Beschwerden, gezieltes Nachfragen nach Über- und Unterfunktionssymptomen, familiär bekannte Erkrankungen, erfolgte Bestrahlungen usw. sollen bereits erste Hinweise für eine gezielte Diagnostik geben.
Zunächst wird die Funktion der Schilddrüse und Nebenschilddrüse durch eine Blutabnahme bestimmt (TSH, fT3, fT4, Calzium, Parathormon und Vitamin D), aber auch Tumormarker (Thyreoglobulin, Calcitonin, CEA) und bei Bedarf die Antikörper (siehe Kapitel Schilddrüse - Organ und Funktion).
Zur Beurteilung von Gewebsveränderungen, der Organgröße, der Schilddrüsenknoten und der Lymphknoten wird zunächst ein Tastbefund und anschließend eine Ultraschalluntersuchung durchgeführt.

![]() |
![]() |
Werden mit dieser Sonographie Knoten über 1 cm Größe entdeckt, ist auch eine Szintigraphie anzuschließen, die zeigt, ob es sich um einen kalten, warmen oder heissen Knoten handelt.
|
![]() |
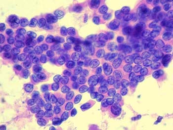
Bei kalten Knoten ist oft eine Gewebeprobe durch eine Feinnadelpunktion sinnvoll, die eine nähere Beurteilung des Knotens erlaubt (ÖGZ A ist gutartig, ÖGZ B - wachsende Zellen - operative Abklärung sinnvoll, ÖGZ C Krebsdiagnose - operative Sanierung dringlich).
![]() |
![]() |
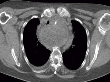
Bei besonders grossen Strumen, vor allem bei Ausbreitung in den Brustkorb, hinter die Luftröhre oder die Speiseröhre ist für die Operationsplanung des Chirurgen eine sogenannte Schnittbilduntersuchung wichtig. Computertomographie (ohne Kontrastmittel !!) können wichtige Zusatzuntersuchungen vor einer Operation sein.
![]() |
![]() |
|
Magnetresonanztomographie |
ein SPECT-CT |
![]() |
![]() |
in besonderen Fällen auch ein PET-CT









